Síntomas del Hallux Valgus o juanete
Los síntomas pueden aparecer de forma gradual y empeorar con el tiempo.
Signos más frecuentes
- Dolor en la parte interna del pie
- Inflamación en la articulación
- Dificultad para usar determinados zapatos
- Roce constante con el calzado
- Molestias al caminar
Cuando el juanete avanza
En fases más avanzadas pueden aparecer otras alteraciones.
Complicaciones frecuentes
- El dedo gordo se coloca sobre o debajo del segundo dedo
- Aparecen callosidades plantares
- Dolor en la zona del antepié
- Sobrecarga en otros dedos
Bursitis asociada al juanete
El roce repetido del calzado puede inflamar los tejidos blandos.
¿Qué sucede?
Se forma una bolsa inflamatoria sobre la prominencia ósea.
Esto puede provocar:
- Mayor sensibilidad
- Hinchazón
- Enrojecimiento
- Dolor al contacto
Causas del Hallux Abductus Valgus
El desarrollo del juanete suele deberse a varios factores combinados.
Factores más habituales
- Uso de calzado estrecho o de tacón alto
- Predisposición genética
- Hipermovilidad articular
- Alteraciones biomecánicas del pie
- Pie plano o pie pronado
Factores estructurales que favorecen su progresión
Alteraciones frecuentes
- Inestabilidad del primer radio
- Sobrecarga del antepié
- Cambios en el apoyo plantar
Tratamiento conservador del juanete
En fases iniciales puede intentarse controlar la evolución sin cirugía.
Medidas recomendadas
- Uso de calzado amplio
- Reducción de presión sobre la articulación
- Adaptación del apoyo plantar
Plantillas personalizadas
Cuando existe alteración estructural asociada, el soporte plantar puede ayudar.
Beneficios
- Estabiliza el pie
- Reduce la sobrecarga
- Ayuda a frenar progresión
¿Cuándo se recomienda cirugía de Hallux Valgus?
La cirugía se plantea cuando el dolor interfiere en la vida diaria.
Indicaciones principales
- Dolor persistente
- Inflamación recurrente
- Dificultad para caminar
- Deformidad progresiva
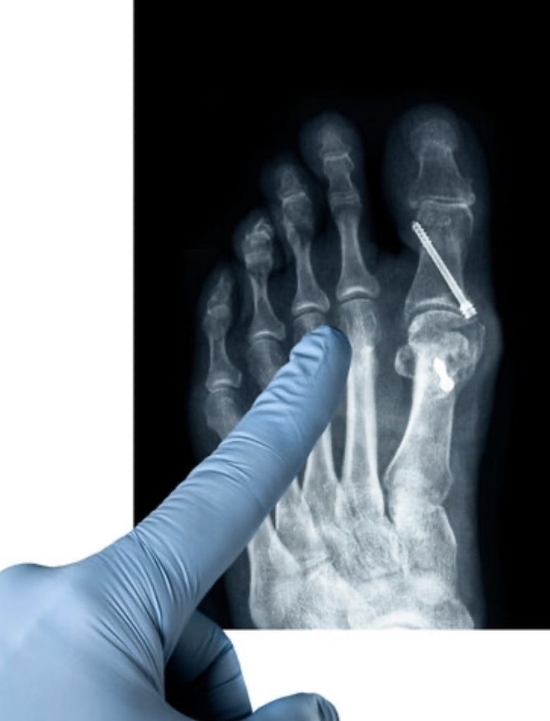
Cirugía de juanetes en Aranjuez
El objetivo quirúrgico es corregir la desviación y restaurar la alineación.
Objetivos de la intervención
- Eliminar la prominencia ósea
- Corregir la desviación del dedo
- Mejorar la biomecánica del pie
- Corregir deformidades asociadas
Técnicas quirúrgicas disponibles
Cada caso requiere una planificación específica.
Opciones utilizadas
- Cirugía mínimamente invasiva
- Técnicas abiertas convencionales
La elección depende del grado de deformidad y de la anatomía de cada paciente.

